casos de éxito

Resultados reales de nuestros pacientes

Una nueva vida detrás de cada sonrisa

PIDE TU PRIMERA CITA

868 16 45 78

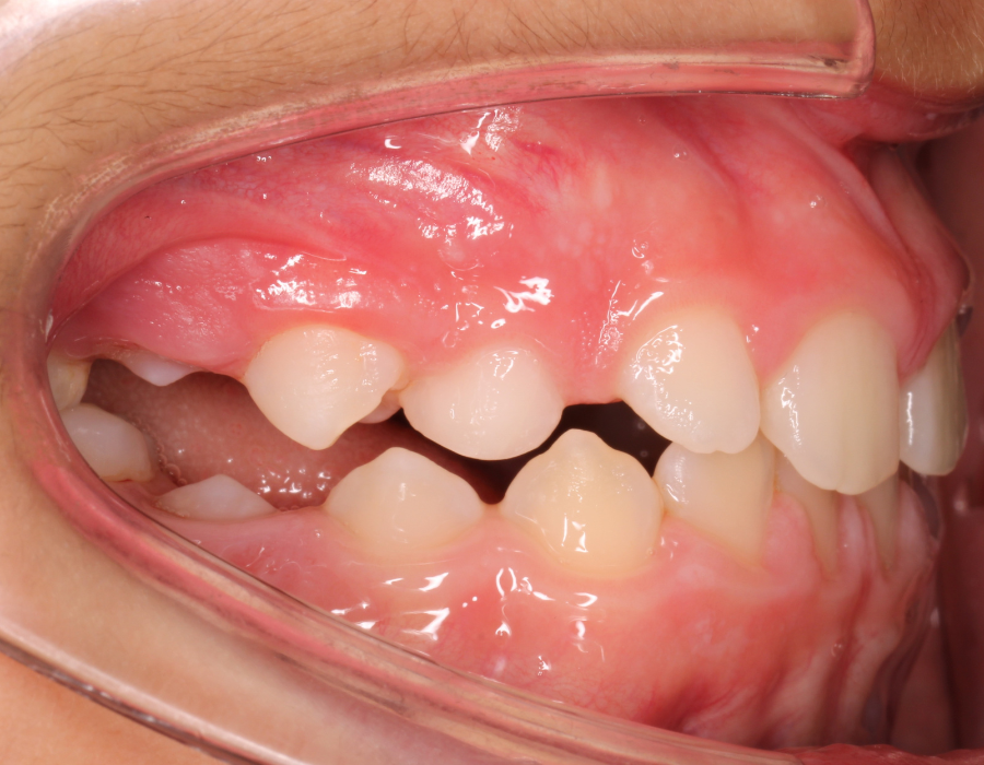
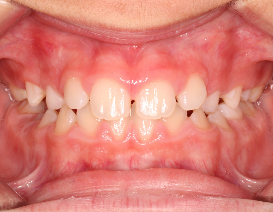
Ortodoncia

Corrección de la mordida gracias al tratamiento de ortopedia

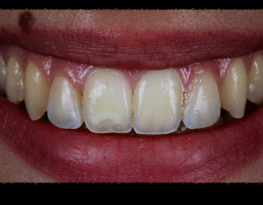
Estética Dental

Tratamiento de estética con carillas composite

Reendodoncia

Pide tu cita
Queremos ayudarte a cuidar tu salud bucodental de forma cercana, clara y profesional. Pide tu primera cita sin compromiso. Estaremos encantados de atenderte

Teléfono
868 16 45 78

WhatsApp
722 24 03 93

Horario
Lunes, miércoles y jueves de 9:30h a 20:00h
Martes de 9:30h a 19:00h
Viernes de 09:30h a 14:30h


Valoraciones de nuestra clínica dental

Opiniones

Conoce que opinan las opinion que tienen los clientes que ya han pasado por nuestra clínica